Rafi Ananda Zufar
Hospitality | 2025-11-12 18:38:06
Sumber gambar : Celestial Blogging Hive
(website gambar: https://celestialblogginghive.blogspot.com/2023/05/macam-kelainan-tulang-belakang-yang.html)
Kalian mungkin sering mendengar istilah Skoliosis, tetapi apakah kalian benar-benar tahu seberapa pentingnya menjaga tulang belakang tetap lurus? Di tengah aktivitas kita yang padat, posisi duduk, berdiri, dan bahkan tidur yang salah secara terus-menerus bisa memicu atau memperburuk masalah kesehatan serius pada tulang belakang.
Dampak dari kebiasaan postur tubuh yang kurang ideal seperti posisi duduk yang miring, membawa tas yang terlalu berat, atau kebiasaan membungkuk saat beraktivitas seringkali tidak disadari sampai menimbulkan rasa nyeri atau ketidak nyamanan yang berkelanjutan. Kebiasaan ini secara perlahan menyebabkan otot-otot tubuh menjadi tidak seimbang, sehingga memaksa tulang belakang untuk beradaptasi dan mencari posisi baru. Ketika adaptasi ini mengakibatkan perubahan atau kemiringan pada poros utama tubuh, kita sedang menghadapi kondisi medis yang biasanya disebut Skoliosis.
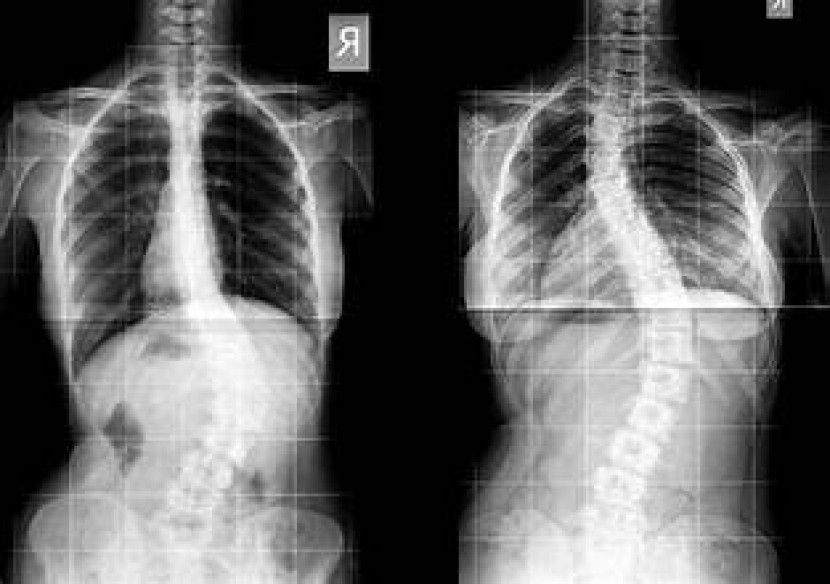
Apa itu Skoliosis ?
Skoliosis merupakan dimana kondisi tulang mengalami melengkung atau menyamping, membentuk huruf 'C' atau 'S'. Kondisi tersebut biasanya sering terjadi pada anak remaja, meskipun penyebab pastinya terkadang tidak diketahui.
Nah seperti sudah dijelaskan di awal tadi sebelumnya, terdapat sekali Penyebab terjadinya skoliosis mulai dari cara kalian duduk, cara tidur, membawa barang yang berat, dan lain-lain. Kebiasaan tersebut terkadang banyak sekali orang yang menyepelekan kebiasaan jelek tersebut bahwa memiliki efek samping bisa menyebabkan resiko terjadinya skoliosis.
Gejala apa saja sih yang dirasakan dari Skoliosis ?
Jadi untuk gejalanya sendiri bermacam-macam yang dirasakan mulai dari rasa sesak nafas , nyeri punggung, dan masalah saraf. Hal tersebut sangat membahayakan bagi orang yang terkena penyakit skoliosis. Oleh sebab itu anda harus berhati-hati untuk melakukan aktivitas yang secara tidak langsung dapat menyebabkan skoliosis.
Lalu tindakan apa saja yang perlu dilakukan untuk menyembuhkan skoliosis?
1. Pemantauan rutin
Penangan ini lebih disarankan untuk anak yang derajat kemiringannya 0 sampai 10 derajat dan pemantauan ini dilakukan secara rutin selama 6 bulan sekali untuk melihat kondisi dan perkembangan kemiringan yang terjadi.
2. Fisioterapi untuk skoliosis pada anak
Manfaat dari fisioterapi sendiri untuk memperkuat otot punggung sehingga menghilangkan rasa nyeri bisa berkurang.
3. Penggunaan brace
Brace sendiri merupakan alat penyangga yang terbuat dari plastik digunakan untuk tubuh pasien setinggi ketiak hingga di pinggul, menggunakan brace setidaknya selama 20 jam dalam sehari untuk hasil maksimal
4. Obat obatan
Dokter bisa membuatkan resep obat untuk meringankan keluhan yang terjadi. Mulai dari obat pereda nyeri,serta dokter bisa menyuntikkan kortikosteroid ke rongga tulang belakang untuk meredahkan penekanan saraf tulang belakang.
5. Asupan vitamin D dan kalsium
Selain dengan cara yang ada di atas, terdapat juga cara mengkonsumsi makanan yang kaya akan vitamin D dan kalsium untuk mengatasi skoliosis sejak dini.
6. Operasi skoliosis
Dan upaya inilah yang terakhir untuk mengatasi skoliosis apabila upaya diatas belum ada perubahan, tujuan dari operasi ini untuk mencegah tulang menjadi makin miring dengan menyatukan beberapa bagian tulang punggung.
Dengan upaya yang ada di atas, dapat meringankan dan dapat menyembuhkan efek dari skoliosis.
Skoliosis bukanlah penyakit yang disepelekan, maka dari itu ayo mulai menjaga diri dari berbagai aktivitas yang bisa menyebabkan terjadinya skoliosis. Dan jangan sampai bikin kita sakit akibat kelalaian kecil yang terus diulang-ulang.
Sumber :
1. Halodoc. (2025). Apa itu Skoliosis? Gejala, Penyebab & Pengobatan. Halodoc. https://share.google/b0tbkWQ4EIZqeZ13S
2. Apakah Skoliosis Bisa Sembuh? Ketahui Penanganannya! | RS Pondok Indah https://share.google/yxWrNnuwMB2hbdwNT
Disclaimer
Retizen adalah Blog Republika Netizen untuk menyampaikan gagasan, informasi, dan pemikiran terkait berbagai hal. Semua pengisi Blog Retizen atau Retizener bertanggung jawab penuh atas isi, foto, gambar, video, dan grafik yang dibuat dan dipublished di Blog Retizen. Retizener dalam menulis konten harus memenuhi kaidah dan hukum yang berlaku (UU Pers, UU ITE, dan KUHP). Konten yang ditulis juga harus memenuhi prinsip Jurnalistik meliputi faktual, valid, verifikasi, cek dan ricek serta kredibel.

2 months ago
29














































